ABOUT US
Lan anh DENTAL
Lan Anh Dental Clinic, established in 1980, has been operating continuously for more than forty years so far. Currently, Lan Anh Dental owns 5 clinics in Ho Chi Minh City with nearly 50 treatment chairs and a team of highly specialized and dedicated doctors. Lan Anh Dental Clinic offers a full range of treatment types such as: general dentistry, porcelain restoration, Implant placement, Orthodontics - braces, gummy smile, etc.
A TEAM OF EXPERIENCE DOCTORS
Professional customer service
COMPREHENSIVE DENTAL SERVICES
We always have the suitable dental restoration solution for you and your loved ones!

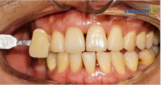
Pictures of Some CEREC Treatment Cases Within The Day With Porcelain Veneers At Lan Anh Dental Clinic
With the CEREC system, doctors at Lan Anh dental clinic can complete porcelain restorations in about 3 hours. Fast and compact, and the treatment results are quite good.

Porcelain Inlay, Modern Dental Filling Techniques with CAD/CAM System
Have you ever found it annoying because you have your teeth filled but the durability was not long-lasting? Are you worried because many people say that fillings will cause sensitivity? The technique of filling teeth with porcelain Inlay will overcome these defects, but in return, this technique has a higher cost than conventional fillings.

Cone Beam 3D System Supports Safe and Effective Implant Placement
Taking X-ray is an important and indispensable step in dental treatment. In addition to 2D X-ray films like Panorex, a 3D Cone Beam film will support doctors with more accurate information, help them examine the structure in the maxillofacial region and especially help them place a safe and effective Implant.

Advantages of CAD/CAM Porcelain Restorations (CEREC, Inlab) At Lan Anh Dental Clinic
CAD/CAM porcelain restorations have become very popular today, and have also demonstrated its superior features. At Lan Anh dental clinic, we use the CEREC and Inlab porcelain restoration system of Sirona company (Germany).

Why In-office Whitening Is More Effective Than At-Home Whitening?
The reason is simple: in-office bleaching is done by a doctor, with the assistance of "sufficient equipment", so the whitening results achieved are "the best possible"!

Whitening at home
Whitening at home

Teeth Whitening With Philips Zoom Whitespeed, Transform Tooth Shade from A3 To B1 In Just 60 Minutes
The A3 shade is the average tooth color of a normal person, which has been unbleached.

Pictures of Some CEREC Treatment Cases Within The Day With Porcelain Veneers At Lan Anh Dental Clinic
With the CEREC system, doctors at Lan Anh dental clinic can complete porcelain restorations in about 3 hours. Fast and compact, and the treatment results are quite good.

Porcelain Inlay, Modern Dental Filling Techniques with CAD/CAM System
Have you ever found it annoying because you have your teeth filled but the durability was not long-lasting? Are you worried because many people say that fillings will cause sensitivity? The technique of filling teeth with porcelain Inlay will overcome these defects, but in return, this technique has a higher cost than conventional fillings.

Advantages of CAD/CAM Porcelain Restorations (CEREC, Inlab) At Lan Anh Dental Clinic
CAD/CAM porcelain restorations have become very popular today, and have also demonstrated its superior features. At Lan Anh dental clinic, we use the CEREC and Inlab porcelain restoration system of Sirona company (Germany).

Braces For Children, Easy Or Not?
Many parents come to the doctor with the desire to get braces for their children because they believe their children should have braces as soon as possible.

What is Invisalign Smileview Simulator?
Simulation with Invisalign helps you see how your smile may look like after treatment, from which you can negotiate and give suggestions to your doctor about your desire to come up with a satisfying treatment plan.

What Do You Care About When Your Children Have Orthodontic Treatment?
At Lan Anh Dental Clinic, we care not only about your child's teeth, but also other factors such as nutrition, height, weight, and the child's psychology.

Cone Beam 3D System Supports Safe and Effective Implant Placement
Taking X-ray is an important and indispensable step in dental treatment. In addition to 2D X-ray films like Panorex, a 3D Cone Beam film will support doctors with more accurate information, help them examine the structure in the maxillofacial region and especially help them place a safe and effective Implant.

All-On-Four Implants – Full-Mouth Restorations
A few years ago, people who lost all their teeth could only choose to wear removable dentures or had to have 6-8 implants for their full mouth restoration. Now the dental industry has a new solution for those who have lost all teeth. It is all-on-4 dental implant technology.

The Best Time to Plan a Dental Implant
When missing teeth for a long time, patients often tend to use the remaining teeth for chewing.

What Matters Should Be Noted When Filling Children's Teeth
Many people think dental treatment or dental filling for children is quite simple.

The Best Way to Prevent Tooth Decay for Your Children
The best way to treat children's tooth decay is to prevent tooth decay from occurring.

What Should You Do When Your Teeth Are Infected and Painful?
Infected teeth often originate from tooth decay, causing pulpitis, pulp necrosis leading to the infection of the entire tooth.

Do You Always Need a Crown after a Root Canal?
In some cases, when the tooth does not have much decay, the tooth structure is still strong, tooth surfaces are intact, the doctor can simply fill it up.
-
Phu Nhuan Center Price List
- Consultation, X-ray and Conebeam CT
- Dental Treatment for Children
- Preventive Dental Treatment and Dental Hygiene
- General Treatment Price List + Filling + Tooth Extraction and Surgery + Endodontic Treatment (Root Canal Treatment, Root Infection Treatment) + Periodontal Disease Treatment - Gum Surgery + Restorations for Decayed Teeth, Broken and Fractured Teeth
- Orthodontic Treatment Price List + Orthodontic Treatment with Braces + Orthodontic Treatment with Invisalign
-
Phu My Hung Center Price List
- Consultation, X-ray and Conebeam CT
- Dental Treatment for Children
- Preventive Dental Treatment and Dental Hygiene
- Dental Implant (130 Ha Huy Tap Center)
- Dental Implant (149 Ton Dat Tien Center)
- General Treatment Price List + Filling + Tooth Extraction and Surgery + Endodontic Treatment (Root Canal Treatment, Root Infection Treatment) + Periodontal Disease Treatment - Gum Surgery + Restorations for Decayed Teeth, Broken and Fractured Teeth
- Orthodontic Treatment Price List + Orthodontic Treatment with Braces + Orthodontic Treatment with Invisalign
-
Sala - Thu Duc Center Price List
- Consultation, X-ray and Conebeam CT
- Dental Treatment for Children
- Preventive Dental Treatment and Dental Hygiene
- General Treatment Price List + Filling + Tooth Extraction and Surgery + Endodontic Treatment (Root Canal Treatment, Root Infection Treatment) + Periodontal Disease Treatment - Gum Surgery
- Orthodontic Treatment Price List + Orthodontic Treatment with Braces + Orthodontic Treatment with Invisalign
-
The Insurance Direct Billing Process
Direct billing agreement makes it easier and more convenient for customers to use the services of medical facilities associated with the insurance company, without the requirements of complicated documents and procedures.
Insurance partners that Lan Anh Dental have direct billing agreement with include:
+ Athena
+ Generali
+ HSC
+ Bao Minh
+ Luma
+ Papaya
+ Inslink - co-branded card with the following insurances:
- GIC
- BSH
+ Pacific Cross - co-branded card with the following insurances:
- A+
- Hung Vuong Insurance (BSH)
- Bao Viet Tokio Marine (Insurance for tourists)
- AIA
- Fubon
- Cathay
+ Leapstack - co-branded card with the following insurances:
- PVI
- Bao Long
- GIC
- BSH
- BHV
- VNI
- AAA
+ Daiichi Life
+ SMART
+ FULLERTON
The insurance direct billing process is as follows:
Step 1: The customer presents the insurance card and ID card/Passport to the receptionist to check and confirm with the insurance company.
Step 2: The customer is examined and is informed about the treatment fee.
Step 3: The receptionist conducts a confirmation procedure with the insurance company and asks the customer to sign the files.
Step 4: The customer pays the excess amount (the expenses that the Insurance Company refuses to pay, if ever). In case the treatment fee is 100% covered, there will be no charge.
(In case there is no approval result from the insurance company and you want to have treatment immediately, please pay the treatment cost in advance, when there is an approval result from the insurance company, the clinic will refund the money which is covered by insurance to you).
Note: Please read the policy carefully to understand the categories of covered treatment.
-

















